Bolesne rany na dziąsłach potrafią być niezwykle uciążliwe i niepokojące. Wiem, jak frustrujące jest, gdy każdy kęs jedzenia czy nawet zwykłe mówienie sprawia dyskomfort. Ten artykuł ma za zadanie pomóc Ci zrozumieć, skąd biorą się te dolegliwości, dostarczyć natychmiastowych, praktycznych wskazówek dotyczących domowych sposobów i leczenia bez recepty, a także jasno wskazać, kiedy konieczna jest wizyta u stomatologa. Moim celem jest uspokojenie Cię i dostarczenie kompleksowej wiedzy, która pozwoli Ci skutecznie poradzić sobie z problemem.
Bolesne rany na dziąsłach szybka pomoc i skuteczne rozwiązania
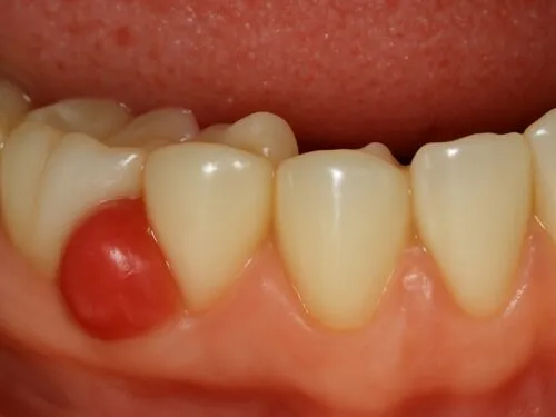
- Najczęstszą przyczyną ran na dziąsłach są urazy mechaniczne, ale mogą je powodować także afty, infekcje czy choroby ogólnoustrojowe.
- W pierwszej kolejności zastosuj domowe płukanki z szałwii, rumianku lub roztworu soli, aby oczyścić ranę i złagodzić ból.
- W aptece bez recepty dostępne są żele, maści i płyny antyseptyczne, które tworzą warstwę ochronną i wspomagają gojenie.
- Niewielkie rany na dziąsłach goją się zazwyczaj w ciągu 7-14 dni, a biały nalot to często naturalny włóknik.
- Koniecznie skonsultuj się ze stomatologiem, jeśli rana nie goi się po 10-14 dniach, jest duża, mocno krwawi, towarzyszy jej gorączka lub ból jest bardzo silny.
- Kluczowa w profilaktyce jest prawidłowa higiena jamy ustnej, zbilansowana dieta i regularne wizyty u dentysty.

Skąd się biorą bolesne rany na dziąsłach i dlaczego bolą?
Z mojego doświadczenia wynika, że najczęstszą przyczyną ran na dziąsłach są urazy mechaniczne. Czasem wystarczy zbyt mocne szczotkowanie zębów, użycie szczoteczki o twardym włosiu, albo niefortunne przygryzienie dziąsła podczas jedzenia. Podrażnienia mogą również wynikać z noszenia aparatu ortodontycznego, który ociera o delikatną błonę śluzową, lub źle dopasowanej protezy. Nawet spożywanie twardych pokarmów, takich jak chipsy czy sucharki, może doprowadzić do drobnych skaleczeń.
Innym powodem, często bardziej bolesnym i wymagającym uwagi, są afty i owrzodzenia. Afty to niewielkie, bolesne zmiany o białym lub żółtawym nalocie, otoczone czerwoną obwódką. Mogą pojawiać się pojedynczo lub w grupach i bywają wyjątkowo dokuczliwe, utrudniając jedzenie i mówienie. Chociaż ich dokładna przyczyna nie zawsze jest znana, często wiąże się je ze stresem, osłabieniem odporności, urazami czy niedoborami witamin.
Rany na dziąsłach mogą być także objawem infekcji bakteryjnych (np. martwiczo-wrzodziejące zapalenie dziąseł), wirusowych (jak opryszczka) czy grzybiczych (kandydoza). W takich przypadkach często towarzyszą im inne objawy, takie jak obrzęk, zaczerwienienie czy nieprzyjemny zapach z ust. Czasami rany są sygnałem chorób ogólnoustrojowych, niedoborów witamin (szczególnie z grupy B, C i A), a w rzadkich, ale bardzo poważnych przypadkach, mogą wskazywać na zmiany nowotworowe. Dlatego tak ważne jest, aby nie bagatelizować przewlekle utrzymujących się zmian.
Szczególnie problematyczne bywają podrażnienia od aparatu ortodontycznego. Metalowe elementy mogą łatwo ocierać o dziąsła i wewnętrzną stronę policzków, prowadząc do bolesnych otarć i ran. Podobnie jest z źle dopasowaną protezą jeśli nie leży idealnie, może uciskać lub przesuwać się, powodując przewlekłe podrażnienia. Nawet niektóre zabiegi stomatologiczne, choć konieczne, mogą tymczasowo uszkodzić delikatne tkanki, prowadząc do niewielkich ran, które zazwyczaj szybko się goją.
Pierwsza pomoc na bolące dziąsła: co zrobić od razu?
-
Bezpieczne tamowanie krwawienia i oczyszczanie rany
Jeśli rana na dziąśle krwawi, nie panikuj. Pierwszym krokiem jest delikatne przyłożenie do niej jałowego gazika i lekkie uciśnięcie. To zazwyczaj wystarcza, aby zatamować drobne krwawienie. Następnie, aby oczyścić ranę i zapobiec infekcji, zalecam płukanie jamy ustnej. Najprostszym i najbezpieczniejszym sposobem jest użycie chłodnej wody lub przygotowanie domowego roztworu soli.
- Tamowanie krwawienia: Delikatnie przyłóż jałowy gazik do krwawiącej rany i lekko uciśnij przez kilka minut.
- Oczyszczanie rany: Po zatamowaniu krwawienia przepłucz jamę ustną chłodną wodą, aby usunąć resztki pokarmowe i zanieczyszczenia.
-
Domowe płukanki, które przyniosą ulgę
Po wstępnym oczyszczeniu, warto sięgnąć po sprawdzone domowe sposoby, które łagodzą ból i wspierają gojenie. Płukanki ziołowe są tutaj niezastąpione.
- Roztwór soli: To mój ulubiony, prosty i skuteczny sposób. Rozpuść pół łyżeczki soli w szklance ciepłej wody. Sól działa antyseptycznie i pomaga zmniejszyć obrzęk. Płucz jamę ustną kilka razy dziennie.
- Szałwia: Napar z szałwii ma silne działanie odkażające i ściągające, co jest bardzo pomocne przy ranach. Zaparz torebkę szałwii lub łyżeczkę suszu w szklance wrzątku, ostudź i używaj do płukania.
- Rumianek: Znany ze swoich właściwości przeciwzapalnych i łagodzących ból. Podobnie jak szałwię, przygotuj napar z rumianku i płucz nim jamę ustną, gdy ostygnie.
-
Czego absolutnie należy unikać
Aby nie pogorszyć stanu zapalnego i przyspieszyć gojenie, musimy być świadomi, czego unikać. Przede wszystkim, zmień swoją dietę na czas gojenia. Ostre przyprawy, gorące napoje i potrawy, a także twarde pokarmy (takie jak orzeszki, chipsy czy sucharki) mogą podrażniać ranę i spowalniać proces regeneracji. Staraj się jeść miękkie, letnie posiłki. Unikaj również agresywnego szczotkowania w okolicy rany używaj szczoteczki z miękkim włosiem i bądź bardzo delikatna. Palenie papierosów i spożywanie alkoholu również znacząco utrudniają gojenie i mogą nasilać ból, więc warto je ograniczyć lub całkowicie z nich zrezygnować.
Skuteczne leczenie bez recepty: co znajdziesz w aptece?
Kiedy domowe sposoby nie przynoszą wystarczającej ulgi, apteka oferuje szeroki wybór preparatów dostępnych bez recepty, które mogą skutecznie wspomóc gojenie ran na dziąsłach. Zawsze polecam mieć coś takiego w domowej apteczce.
Żele i maści na rany w jamie ustnej to bardzo popularne i skuteczne rozwiązania. Ich głównym zadaniem jest tworzenie na powierzchni rany ochronnej warstwy, która izoluje ją od drażniących czynników zewnętrznych (np. jedzenia, napojów). Dodatkowo, wiele z nich zawiera składniki o działaniu przeciwbólowym i antyseptycznym, co przynosi natychmiastową ulgę i zapobiega rozwojowi infekcji. Do najczęściej polecanych należą:
- Sachol: Działa przeciwzapalnie i przeciwbólowo.
- Dezaftan: Tworzy barierę ochronną, łagodzi ból.
- Anaftin: Powleka ranę, zmniejszając ból i wspomagając gojenie aft.
- Baikadent: Preparat ziołowy o działaniu przeciwzapalnym i regenerującym.
Warto również sięgnąć po spraye i płyny antyseptyczne, zwłaszcza gdy rana jest większa lub istnieje ryzyko infekcji. Preparaty te pomagają zmniejszyć liczbę bakterii w jamie ustnej, co jest kluczowe dla szybkiego i niezakłóconego gojenia. Szukaj tych, które zawierają:
- Chlorheksydynę: Silny środek antyseptyczny, skuteczny przeciwko szerokiemu spektrum bakterii.
- Oktenidynę: Nowoczesny antyseptyk, często spotykany w preparatach takich jak Octenisept Oral Mono, który jest bezpieczny i efektywny w jamie ustnej.
-
Jak prawidłowo aplikować preparaty miejscowe?
Aby zmaksymalizować działanie tych preparatów, kluczowa jest prawidłowa aplikacja. Zawsze dokładnie umyj ręce przed nałożeniem żelu czy maści. Stosuj preparat bezpośrednio na ranę, najlepiej za pomocą czystego palca lub aplikatora dołączonego do opakowania. Po aplikacji staraj się przez około 30 minut nie jeść ani nie pić, aby dać substancji czas na zadziałanie i stworzenie warstwy ochronnej. Pamiętaj, aby zawsze czytać ulotkę informacyjną i stosować się do zaleceń producenta.
Kiedy domowe sposoby nie wystarczą: sygnały alarmowe do dentysty
Z mojego doświadczenia wiem, że większość drobnych ran na dziąsłach, wynikających z urazów mechanicznych czy aft, goi się samoistnie. Błona śluzowa jamy ustnej ma niezwykłe zdolności regeneracyjne i zazwyczaj szybko wraca do normy. W trakcie gojenia na ranie może pojawić się biały lub żółtawy nalot to włóknik, naturalny element procesu naprawczego, a niekoniecznie objaw infekcji. Całkowite zagojenie niewielkiej rany trwa zazwyczaj od kilku do 14 dni.
-
Przeczytaj również: Krwawiące dziąsła? Zatamuj krwotok! Poznaj przyczyny i leczenie
Kiedy niezwłocznie udać się do stomatologa?
Istnieją jednak pewne sygnały alarmowe, których absolutnie nie wolno ignorować. Jeśli zauważysz którykolwiek z poniższych objawów, koniecznie skonsultuj się ze stomatologiem:
- Rana nie goi się lub powiększa po 10-14 dniach: To jeden z najważniejszych sygnałów. Jeśli mimo stosowania domowych sposobów i preparatów aptecznych rana nie zmniejsza się lub wręcz rośnie, potrzebna jest profesjonalna ocena.
- Rana jest bardzo głęboka lub rozległa (>1-1,5 cm): Duże uszkodzenia wymagają interwencji, ponieważ są bardziej podatne na infekcje i mogą pozostawić blizny.
- Krwawienie jest obfite i niemożliwe do zatamowania: Jeśli krwawienie nie ustaje po kilku minutach ucisku jałowym gazikiem, to znak, że coś jest nie tak.
- Pojawiają się objawy ogólne, takie jak gorączka: Gorączka w połączeniu z raną w jamie ustnej może świadczyć o poważnej infekcji, która wymaga leczenia antybiotykami lub innymi lekami.
- Ból jest bardzo silny i nie ustępuje po lekach przeciwbólowych: Nieznośny ból, który utrudnia codzienne funkcjonowanie, jest zawsze powodem do wizyty u specjalisty.
Pamiętaj, że przewlekle niegojące się owrzodzenie, zwłaszcza takie, które nie boli lub ma nieregularne brzegi, jest sygnałem, który stomatolog musi zbadać. Może to wskazywać na poważniejszą chorobę, w tym nowotwór jamy ustnej. Wczesne wykrycie jest kluczowe dla skutecznego leczenia, więc nie zwlekaj.
Zapobieganie to podstawa: jak dbać o dziąsła na co dzień?
Z mojego punktu widzenia, najlepszym sposobem na uniknięcie bolesnych ran na dziąsłach jest konsekwentna profilaktyka. To naprawdę prostsze, niż myślisz, i opiera się na kilku kluczowych zasadach.
Fundamentem zdrowych dziąseł jest prawidłowa higiena jamy ustnej. Używaj szczoteczki z miękkim włosiem, aby nie podrażniać delikatnych tkanek. Pamiętaj o właściwej technice mycia zębów wykonuj delikatne, wymiatające ruchy od dziąsła do korony zęba, zamiast szorowania. Nie zapominaj o codziennym używaniu nici dentystycznej lub irygatora, aby usunąć resztki jedzenia i płytkę bakteryjną z przestrzeni międzyzębowych, gdzie często zaczynają się problemy.
Dieta odgrywa ogromną rolę w utrzymaniu zdrowych dziąseł. Włącz do swojego jadłospisu produkty bogate w witaminy, zwłaszcza A, C i z grupy B. Witamina C jest niezbędna do produkcji kolagenu, który buduje dziąsła, a jej niedobór może prowadzić do krwawień i trudności w gojeniu. Witaminy z grupy B wspierają regenerację błon śluzowych, a witamina A jest ważna dla ich prawidłowego stanu. Świeże owoce, warzywa, pełnoziarniste produkty i chude białko to Twoi sprzymierzeńcy w walce o zdrowe dziąsła.
Nie mogę wystarczająco podkreślić znaczenia regularnych wizyt u stomatologa. To nie tylko kontrola stanu uzębienia, ale także ocena kondycji dziąseł i błony śluzowej. Dentysta może wcześnie wykryć potencjalne problemy, takie jak źle dopasowane protezy czy aparaty ortodontyczne, które mogą prowadzić do ran. W przypadku aparatów ortodontycznych, stomatolog lub ortodonta może doradzić stosowanie specjalnego wosku ochronnego, który zabezpiecza dziąsła przed otarciami. Pamiętaj, że profilaktyka to inwestycja w Twój komfort i zdrowie na lata.




