
Zapalenie dziąseł u dziecka: Ile trwa i kiedy do dentysty?
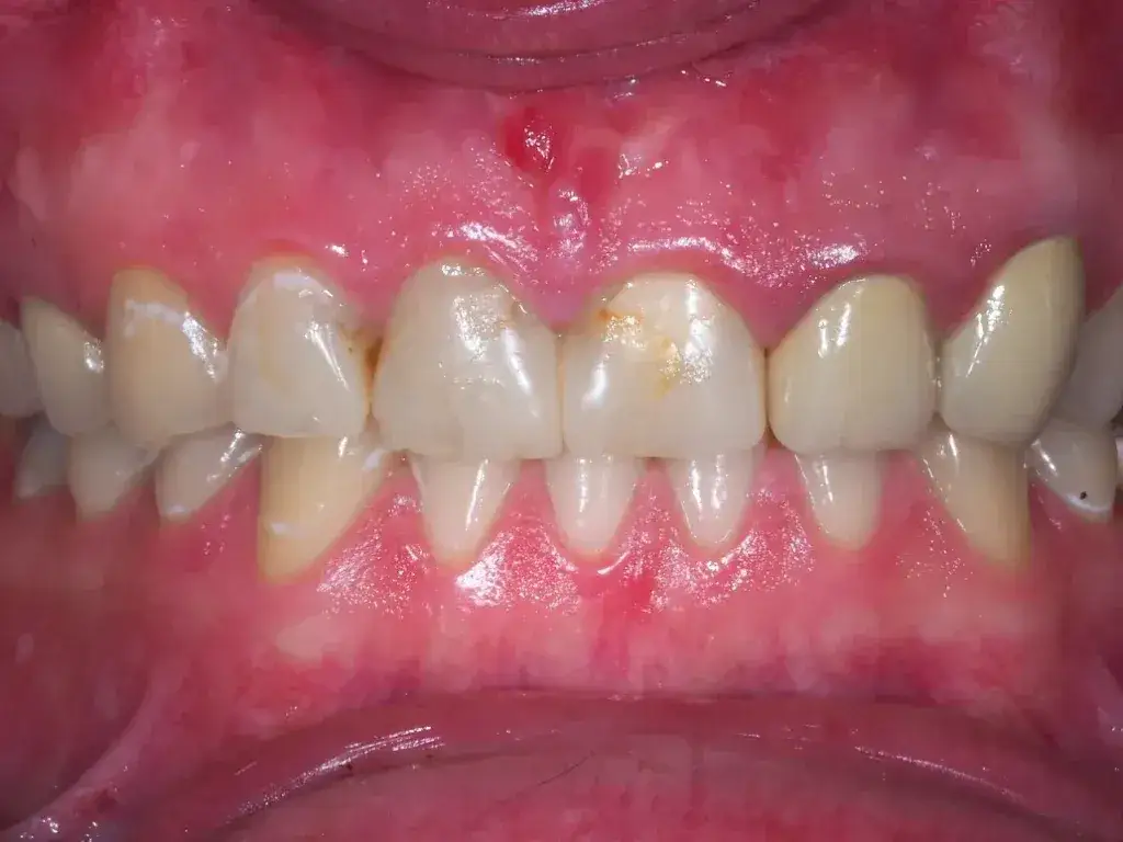
Zapalenie dziąseł u dziecka? Dowiedz się, ile trwa (7-14 dni), jakie są objawy i kiedy iść do dentysty. Sprawdź skuteczne domowe leczenie i zapobieganie.

Zapalenie dziąseł u dziecka? Dowiedz się, ile trwa (7-14 dni), jakie są objawy i kiedy iść do dentysty. Sprawdź skuteczne domowe leczenie i zapobieganie.

Bezpieczne znieczulenie u dentysty w ciąży to mit? Poznaj fakty! Sprawdź, kiedy leczyć zęby, jakie środki są dozwolone i chroń siebie i dziecko.

Rozpoznaj objawy stanu zapalnego jamy ustnej: ból, pieczenie, naloty. Dowiedz się, co oznaczają, jakie są przyczyny i kiedy konieczna jest wizyta u stomatologa. Sprawdź!

Zastanawiasz się, czym jest implant zęba? Poznaj proces leczenia, jego zalety, przeciwwskazania i ceny w Polsce. Twój uśmiech czeka!

Zastanawiasz się, jak często wymieniać końcówkę szczoteczki sonicznej? Odkryj, dlaczego 3 miesiące to klucz i co grozi za zwlekanie. Sprawdź nasz poradnik!

Ból ucha? Odkryj skuteczne domowe sposoby, leki bez recepty i kluczowe wskazówki, kiedy pilnie udać się do lekarza. Zadbaj o ulgę i bezpieczeństwo.

Znieczulenie u dentysty jest bezpieczne! Rozwiej obawy, poznaj fakty o składnikach, rodzajach i bezpieczeństwie w ciąży. Dowiedz się, jak się przygotować.

Czy zapalenie dziąseł jest zaraźliwe? Poznaj różnicę między przenoszeniem bakterii a chorobą. Dowiedz się, jak skutecznie chronić siebie i bliskich!

Ile drgań ma szczoteczka soniczna? Poznaj różnicę między drganiami a ruchami, optymalne prędkości i wybierz idealny model dla Twoich potrzeb. Sprawdź!

Czym zajmuje się dentysta? Poznaj pełen zakres usług: od profilaktyki, przez leczenie zachowawcze, po specjalizacje. Odkryj nowoczesne metody i kiedy iść do stomatologa.