
Jak wyleczyć próchnicę bez dentysty? Kiedy to możliwe?
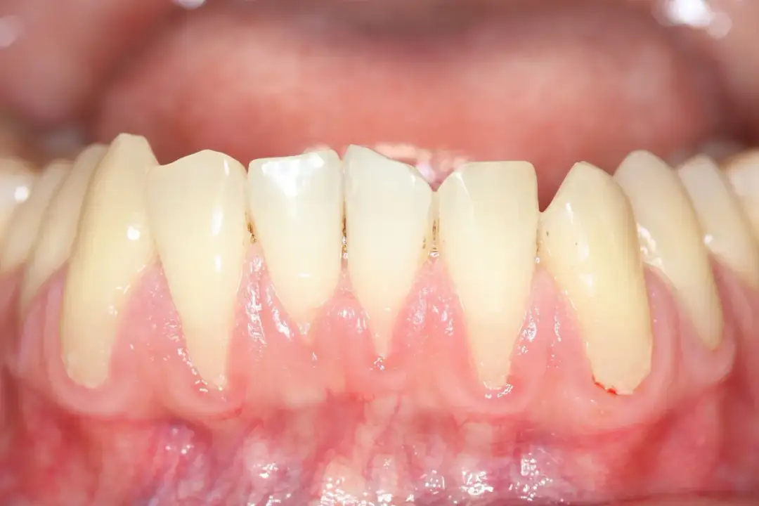
Dowiedz się, czy można wyleczyć próchnicę w domu. Wyjaśniamy, kiedy domowa remineralizacja działa (biała plama), a kiedy wizyta u dentysty jest konieczna. Obalamy mity!

Dowiedz się, czy można wyleczyć próchnicę w domu. Wyjaśniamy, kiedy domowa remineralizacja działa (biała plama), a kiedy wizyta u dentysty jest konieczna. Obalamy mity!

Grzybica jamy ustnej? Odkryj skuteczne leki bez recepty i domowe sposoby na szybką ulgę. Sprawdź, jak rozpoznać objawy i kiedy iść do lekarza.

Czy to zapalenie miazgi zęba? Poznaj kluczowe objawy: ból, reakcje na zimno/ciepło. Dowiedz się, kiedy to odwracalne i co robić natychmiast.

Odkryj bezpieczne metody usuwania kleju do protez z dziąseł. Poznaj domowe sposoby i apteczne produkty, by uniknąć podrażnień i zadbać o higienę.

Jak wzmocnić dziąsła? Poznaj przyczyny osłabienia i skuteczne metody: od domowych płukanek po profesjonalne zabiegi. Odkryj kompleksowy przewodnik!

Odkryj, jak skutecznie usunąć przebarwienia z zębów! Poznaj przyczyny, domowe metody, profesjonalne zabiegi i ich koszty. Zadbaj o biały uśmiech.

Ból uszu? Poznaj sprawdzone domowe sposoby, skuteczne leki bez recepty i dowiedz się, kiedy pilnie udać się do lekarza. Szybka ulga i porady eksperta.

Jak długo trwa leczenie grzybicy jamy ustnej? Poznaj realne ramy czasowe, przyczyny nawrotów i skuteczne porady z doświadczeń innych. Sprawdź, jak się wyleczyć!

Czy dentysta wystawia L4? Poznaj zasady: kiedy otrzymasz zwolnienie po zabiegu, a kiedy nie. Rozwiej wątpliwości i sprawdź, jak się przygotować!

Jak płukać dziąsła szałwią? Odkryj sprawdzony przewodnik krok po kroku. Poznaj proporcje, technikę, błędy i przeciwwskazania. Zadbaj o zdrowe dziąsła!