
Od czego puchną dziąsła? Poznaj przyczyny i skuteczne leczenie!
Opuchnięte dziąsła? Poznaj najczęstsze przyczyny, objawy i skuteczne metody leczenia. Sprawdź, jak sobie pomóc i kiedy iść do dentysty.

Opuchnięte dziąsła? Poznaj najczęstsze przyczyny, objawy i skuteczne metody leczenia. Sprawdź, jak sobie pomóc i kiedy iść do dentysty.

Ropa w dziąśle? Sprawdź domowe sposoby na ulgę i leki bez recepty. Dowiedz się, czego unikać i kiedy pilnie do dentysty, by uniknąć powikłań.

Wybierz najlepszą szczoteczkę elektryczną dla dziecka! Poznaj różnice między soniczną a rotacyjną, rekomendacje stomatologów i funkcje. Pomogę Ci podjąć decyzję.

Zapalenie dziąseł u dziecka: poznaj objawy, bezpieczne domowe sposoby i apteczne preparaty. Dowiedz się, kiedy iść do dentysty. Szybka ulga!

Jak wyglądają dziąsła przy ząbkowaniu? Zobacz zdjęcia opuchniętych, sinych dziąseł. Poznaj objawy, kiedy się niepokoić i jak ulżyć dziecku. Sprawdź nasz poradnik!

Czy Helicobacter pylori objawia się w jamie ustnej? Poznaj nieświeży oddech, afty i nalot na języku. Sprawdź diagnostykę i skuteczne leczenie.

Czy znieczulenie u dentysty opóźnia okres? Dowiedz się, dlaczego stres, a nie znieczulenie miejscowe, może zaburzyć cykl. Poznaj prawdziwe przyczyny i porady.

Ząbkowanie u niemowląt: Zobacz, jak wyglądają dziąsła na każdym etapie i rozpoznaj objawy. Odróżnij normę od problemu. Sprawdź nasz przewodnik!

Ile zarabia dentysta w Polsce? Sprawdź realne zarobki, wpływ specjalizacji, lokalizacji i formy zatrudnienia. Odkryj, czy zawód dentysty się opłaca!

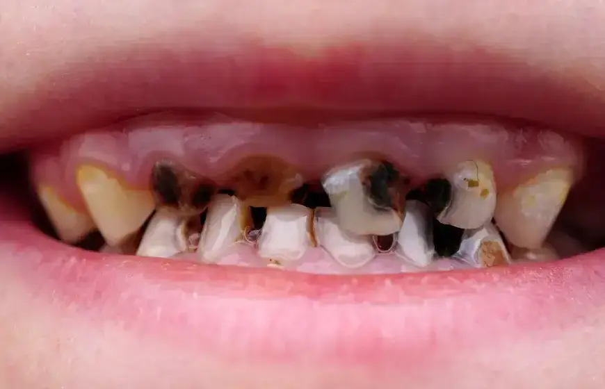
Dowiedz się, czy można wyleczyć próchnicę w domu. Wyjaśniamy, kiedy domowa remineralizacja działa (biała plama), a kiedy wizyta u dentysty jest konieczna. Obalamy mity!