Wielu moich pacjentów zadaje mi to samo, pełne nadziei pytanie: "Czy dziąsła odrastają?". To zrozumiałe, gdy zauważa się, że zęby wydają się dłuższe, a dziąsła cofają się, odsłaniając wrażliwe szyjki. W tym artykule postaram się rozwiać wszelkie wątpliwości, udzielając jasnej odpowiedzi na to kluczowe pytanie, a co ważniejsze przedstawię realne i skuteczne rozwiązania problemu recesji dziąseł, oferując kompleksową wiedzę i praktyczne wskazówki.
Utracone dziąsła nie odrastają samoistnie poznaj skuteczne metody leczenia recesji
- Nie, tkanka dziąsłowa, która uległa zanikowi (recesji), nie regeneruje się naturalnie do pierwotnego poziomu.
- Recesja dziąseł to przemieszczenie brzegu dziąsła, prowadzące do odsłonięcia szyjek i korzeni zębów.
- Główne przyczyny to nieprawidłowe szczotkowanie, zła higiena, genetyka, wady zgryzu, bruksizm i palenie.
- Objawy obejmują wizualne wydłużenie zębów, nadwrażliwość na bodźce i zwiększone ryzyko próchnicy korzenia.
- Jedynym skutecznym sposobem na odbudowę są profesjonalne zabiegi periodontologiczne, np. przeszczep dziąsła.
- Domowe metody nie odbudują dziąseł, ale są kluczowe w profilaktyce i hamowaniu postępu problemu.
Czy dziąsła odrastają? Prawda i realne rozwiązania
Krótka odpowiedź na kluczowe pytanie: Czy utracone dziąsło może się zregenerować?
Przejdźmy od razu do sedna, bo wiem, że to najbardziej nurtujące pytanie. Niestety, muszę rozwiać wszelkie złudzenia tkanka dziąsłowa, która raz uległa zanikowi, czyli recesji, nie regeneruje się samoistnie i nie odrasta do pierwotnego poziomu. Proces ten jest generalnie nieodwracalny bez interwencji specjalistycznej. W mojej praktyce widziałam jedynie rzadkie przypadki, głównie u bardzo młodych osób, gdzie niewielkie recesje powstałe w wyniku leczenia ortodontycznego lub zgryzu urazowego mogły ulec pewnej poprawie po usunięciu przyczyny. W większości sytuacji, aby odbudować utracone dziąsło, konieczne jest profesjonalne leczenie.
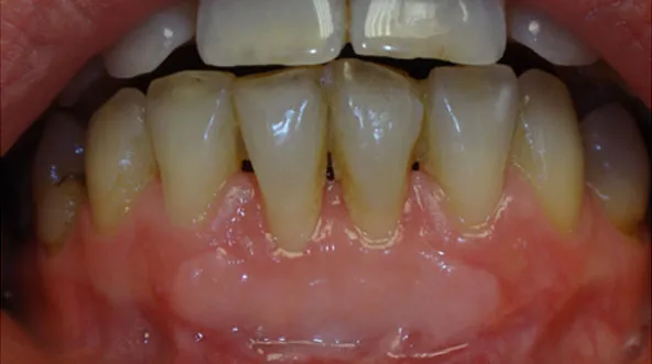
Czym jest recesja dziąseł i dlaczego Twoje zęby wydają się dłuższe?
Recesja dziąseł, często nazywana cofaniem się dziąseł, to nic innego jak przemieszczenie się brzegu dziąsła w kierunku wierzchołka korzenia zęba. W efekcie odsłonięte zostają szyjki, a niekiedy nawet całe korzenie zębów. To właśnie ten proces sprawia, że zęby nagle wydają się "dłuższe" niż kiedyś, a uśmiech traci swoją pierwotną estetykę. To nie jest kwestia, którą można zignorować, ponieważ odsłonięte powierzchnie są znacznie bardziej podatne na uszkodzenia.

Jakie objawy, oprócz estetyki, powinny wzbudzić Twój niepokój?
Poza zmianami estetycznymi, które są często pierwszym sygnałem, recesja dziąseł niesie ze sobą szereg innych, znacznie poważniejszych konsekwencji, które powinny skłonić Cię do natychmiastowej wizyty u specjalisty. Zwróć uwagę na następujące objawy:
- Nadwrażliwość zębów: Odsłonięte szyjki i korzenie zębów są pozbawione ochronnej warstwy szkliwa, co prowadzi do silnej nadwrażliwości na zimne, gorące, słodkie lub kwaśne pokarmy i napoje.
- Widoczne zagłębienie: Na granicy zęba i dziąsła często pojawia się widoczne zagłębienie lub "wcięcie", które jest efektem utraty tkanki.
- Krwawienie dziąseł: Choć recesja sama w sobie nie musi krwawić, często towarzyszy jej stan zapalny dziąseł, który objawia się krwawieniem podczas szczotkowania czy nitkowania.
- Zwiększone ryzyko próchnicy korzenia: Powierzchnia korzenia jest bardziej miękka niż szkliwo, co czyni ją niezwykle podatną na rozwój próchnicy. Nieleczona próchnica korzenia może szybko prowadzić do poważnych problemów.
- Stany zapalne miazgi: W zaawansowanych przypadkach, gdy recesja jest głęboka, może dojść do stanów zapalnych miazgi zęba.
- Rozchwianie i utrata zębów: W skrajnych przypadkach, gdy utrata tkanki dziąsłowej i kostnej jest znaczna, zęby mogą stać się ruchome, a nawet wypaść.
Dlaczego dziąsła się cofają? Główne przyczyny problemu
Zrozumienie przyczyn recesji dziąseł jest kluczowe, aby skutecznie zapobiegać problemowi i wdrożyć odpowiednie leczenie. Jako Agnieszka Krajewska, wielokrotnie obserwowałam, jak połączenie kilku czynników prowadzi do tego nieprzyjemnego stanu. Oto najczęstsze z nich.
Zaskakujący wróg numer jeden: Czy na pewno dobrze myjesz zęby?
Wielu moich pacjentów jest zaskoczonych, gdy dowiaduje się, że ich codzienna higiena, mająca na celu dbanie o zęby, może być jedną z głównych przyczyn recesji. Nieprawidłowa technika szczotkowania jest niestety wrogiem numer jeden. Zbyt duża siła nacisku, używanie twardej szczoteczki oraz poziome, szorujące ruchy zamiast wymiatających, mechanicznie uszkadzają delikatne tkanki dziąsłowe. Zamiast usuwać płytkę nazębną, dosłownie "zdzieramy" dziąsła z powierzchni zębów, prowadząc do ich stopniowego cofania się.
Cienki biotyp dziąsła, czyli kiedy genetyka działa na Twoją niekorzyść
Niestety, nie zawsze wszystko zależy od nas. Czynniki genetyczne odgrywają znaczącą rolę w predyspozycji do recesji dziąseł. Mówimy tu o tzw. "cienkich biotypach dziąsła". Osoby z cienkimi, delikatnymi dziąsłami i cienką kością wyrostka zębodołowego są znacznie bardziej narażone na cofanie się dziąseł, nawet przy prawidłowej higienie. Ich tkanki są po prostu mniej odporne na urazy mechaniczne czy stany zapalne. To jest coś, z czym się rodzimy, ale świadomość tego faktu pozwala na wczesne wdrożenie odpowiedniej profilaktyki.Bruksizm, wady zgryzu i palenie: cisi niszczyciele zdrowego uśmiechu
Poza czynnikami mechanicznymi i genetycznymi, istnieje szereg innych nawyków i schorzeń, które mogą przyspieszać proces recesji dziąseł:
- Bruksizm (zgrzytanie zębami): Nocne zgrzytanie i zaciskanie zębów wywiera ogromny nacisk na zęby i otaczające je tkanki, prowadząc do przeciążeń, które mogą skutkować recesją.
- Wady zgryzu i nieprawidłowe ustawienie zębów: Zęby ustawione poza łukiem zębowym lub te, które są nadmiernie obciążone podczas żucia, są bardziej narażone na uszkodzenia dziąseł. Nierównomierne rozłożenie sił żucia może prowadzić do miejscowego zaniku tkanki.
- Palenie tytoniu: Palacze są w grupie wysokiego ryzyka. Substancje toksyczne zawarte w dymie tytoniowym upośledzają krążenie krwi w dziąsłach, osłabiają ich odporność i zdolność do regeneracji, a także maskują objawy stanów zapalnych.
- Piercing w jamie ustnej: Kolczyki w języku czy wargach mogą mechanicznie drażnić dziąsła, prowadząc do ich miejscowego cofania się.
Stan zapalny i kamień nazębny: Jak zaniedbania prowadzą do utraty dziąseł
Nie możemy zapomnieć o fundamentalnym problemie, jakim jest zła higiena jamy ustnej. Jeśli nie usuwamy regularnie płytki bakteryjnej, szybko przekształca się ona w twardy kamień nazębny. Kamień ten, pełen bakterii, drażni dziąsła, prowadząc do ich stanu zapalnego gingivitis. Nieleczony stan zapalny dziąseł może przekształcić się w paradontozę (zapalenie przyzębia), która jest główną przyczyną utraty zębów u dorosłych. W przebiegu paradontozy bakterie niszczą nie tylko dziąsła, ale także kość podtrzymującą zęby, co ostatecznie prowadzi do recesji i pogłębiania się problemu.Koniec z mitami: Domowe sposoby nie odbudują dziąseł
Wiele osób, szukając ratunku dla swoich cofających się dziąseł, zwraca się ku domowym metodom. Chociaż rozumiem tę potrzebę, muszę jasno zaznaczyć, że żadne domowe sposoby nie są w stanie odbudować utraconej tkanki dziąsłowej. To bardzo ważne, aby nie tracić cennego czasu na nieskuteczne rozwiązania, które mogą jedynie opóźnić wizytę u specjalisty.
Płukanki ziołowe i specjalne pasty: jaka jest ich prawdziwa rola?
Płukanki ziołowe, takie jak te z szałwii czy rumianku, a także specjalne pasty do zębów na nadwrażliwość czy wzmacniające dziąsła, mają swoją rolę, ale nie jest nią regeneracja utraconej tkanki. Ich prawdziwa funkcja to przede wszystkim profilaktyka, łagodzenie objawów i wspieranie ogólnej higieny jamy ustnej. Płukanki mogą pomóc zredukować stan zapalny i ukoić podrażnione dziąsła, a pasty na nadwrażliwość skutecznie zmniejszają dolegliwości bólowe związane z odsłoniętymi szyjkami zębów. Nie oczekujmy jednak od nich, że "cofną" recesję to po prostu niemożliwe.
Co możesz realnie zrobić w domu, aby zatrzymać postęp recesji?
Chociaż domowe metody nie odbudują dziąseł, są absolutnie kluczowe w zatrzymywaniu postępu recesji i utrzymaniu zdrowia jamy ustnej. Oto, co możesz realnie zrobić:
- Stosuj miękką szczoteczkę: Zawsze wybieraj szczoteczkę z miękkim włosiem, aby uniknąć mechanicznego uszkadzania dziąseł.
- Delikatna technika mycia: Naucz się prawidłowej techniki szczotkowania ruchy wymiatające, od dziąsła do korony zęba, z minimalnym naciskiem. W razie wątpliwości poproś higienistkę o instruktaż.
- Regularne nitkowanie/używanie szczoteczek międzyzębowych: Codzienne usuwanie płytki nazębnej z przestrzeni międzyzębowych jest niezbędne do zapobiegania stanom zapalnym.
- Pasty na nadwrażliwość: Jeśli odczuwasz nadwrażliwość, stosuj pasty przeznaczone do zębów wrażliwych. Mogą one przynieść znaczną ulgę.
- Płyny antybakteryjne: Używanie płynów do płukania ust z chlorheksydyną (krótkotrwale, pod kontrolą lekarza) lub naturalnych składników może wspomóc redukcję bakterii i stanów zapalnych.
- Zdrowa dieta: Zbilansowana dieta, bogata w witaminy (szczególnie C i D) i minerały, wspiera ogólne zdrowie dziąseł.
- Rezygnacja z palenia: To jeden z najważniejszych kroków, jaki możesz podjąć dla zdrowia swoich dziąseł i całego organizmu.
Profesjonalna odbudowa dziąseł: Opcje i koszty w Polsce
Kiedy domowe metody nie wystarczają, a recesja dziąseł postępuje, jedynym skutecznym rozwiązaniem jest profesjonalna interwencja stomatologiczna. Jako Agnieszka Krajewska, zawsze podkreślam, że wczesna diagnoza i odpowiednie leczenie periodontologiczne mogą uratować Twój uśmiech i zapobiec poważniejszym konsekwencjom.

Pierwszy krok: Jak leczenie zachowawcze może zatrzymać problem?
Zanim przejdziemy do zabiegów chirurgicznych, często pierwszym krokiem w walce z recesją jest leczenie niechirurgiczne. Polega ono przede wszystkim na profesjonalnym usuwaniu kamienia nazębnego (scaling) i piaskowaniu. Eliminacja kamienia i osadu, które są siedliskiem bakterii, jest kluczowa dla usunięcia stanu zapalnego dziąseł. Po dokładnym oczyszczeniu i wypolerowaniu powierzchni korzeni, dziąsła mają szansę na regenerację (nie mylić z odrastaniem!) i lepsze przyleganie do zębów, co może zatrzymać postęp choroby. To fundament, na którym budujemy dalsze leczenie.
Przeszczep dziąsła: na czym polega "złoty standard" w leczeniu recesji?
Jeśli recesja jest zaawansowana i wymaga odbudowy utraconej tkanki, "złotym standardem" w leczeniu jest przeszczep dziąsła. Zabieg ten polega na pobraniu niewielkiego fragmentu tkanki miękkiej najczęściej z podniebienia pacjenta (tzw. przeszczep autogenny) i przeszczepieniu go w miejsce, gdzie dziąsło się cofnęło. Celem jest pokrycie odsłoniętej powierzchni korzenia i odbudowa utraconej tkanki dziąsłowej. To skuteczna metoda, która nie tylko poprawia estetykę, ale przede wszystkim chroni ząb przed dalszymi uszkodzeniami i nadwrażliwością. Po zabiegu dziąsło jest grubsze i bardziej odporne.
Nowoczesne metody chirurgiczne: Pokrycie recesji płatem i użycie biomateriałów
Oprócz klasycznego przeszczepu, współczesna periodontologia oferuje inne, równie skuteczne metody chirurgiczne. Jedną z nich jest przesunięcie płata dziąsłowego. W tym zabiegu wykorzystuje się i naciąga tkankę dziąsłową sąsiadującą z ubytkiem, aby pokryć odsłonięty korzeń. Inną innowacyjną techniką jest sterowana regeneracja tkanek, która polega na zastosowaniu specjalnych biomateriałów, takich jak błony kolagenowe. Materiały te działają jak rusztowanie, stymulując organizm do naturalnej odbudowy utraconej tkanki dziąsłowej i kości. Wybór metody zawsze zależy od indywidualnego przypadku, głębokości recesji i ogólnego stanu zdrowia pacjenta.
Jak wyglądają orientacyjne ceny zabiegów periodontologicznych w polskich gabinetach?
Koszty leczenia periodontologicznego w Polsce są zróżnicowane i zależą od wielu czynników, takich jak miasto, renoma kliniki oraz doświadczenie specjalisty. Poniżej przedstawiam orientacyjne ceny, które pomogą Ci zorientować się w wydatkach:
| Usługa | Orientacyjna cena |
|---|---|
| Konsultacja periodontologiczna | ok. 250 zł |
| Pokrycie recesji z przeszczepem (jeden ząb) | od 1100 zł - 1500 zł |
| Pokrycie recesji z użyciem biomateriału | od 3000 zł |
Zapobieganie jest kluczowe: Jak chronić dziąsła przed recesją
Zawsze powtarzam moim pacjentom, że zapobieganie jest znacznie łatwiejsze i tańsze niż leczenie. Ochrona dziąseł przed recesją to proces ciągły, który wymaga świadomych nawyków i regularnej troski. Wierzę, że dzięki odpowiedniej wiedzy i konsekwencji, możesz skutecznie chronić swój uśmiech.
Zmień nawyki, nie dziąsła: Technika szczotkowania, która ratuje uśmiech
To absolutna podstawa. Jeśli chcesz chronić swoje dziąsła, musisz zmienić swoje nawyki szczotkowania. Wybierz miękką szczoteczkę to priorytet! Następnie naucz się delikatnej, ale skutecznej techniki. Zamiast szorować poziomo, wykonuj ruchy wymiatające, od dziąsła do korony zęba, pod kątem 45 stopni. Pamiętaj, że celem jest usunięcie płytki nazębnej, a nie zdzieranie dziąseł. Jeśli nie jesteś pewien, poproś higienistkę stomatologiczną o indywidualny instruktaż. To inwestycja, która naprawdę się opłaca.
Rola regularnych wizyt u stomatologa i higienistki
Regularne wizyty kontrolne u dentysty i higienistki stomatologicznej są fundamentem zapobiegania recesji dziąseł. To nie tylko kwestia leczenia, gdy coś się dzieje, ale przede wszystkim wczesnego wykrywania i prewencji. Profesjonalne usuwanie kamienia i osadu nazębnego (scaling i piaskowanie), przeprowadzane co 6-12 miesięcy, jest niezbędne do utrzymania zdrowych dziąseł. Higienistka może również ocenić Twoją technikę szczotkowania, doradzić w wyborze odpowiednich produktów i zauważyć pierwsze, często niewidoczne dla Ciebie sygnały cofania się dziąseł.
Przeczytaj również: Jaki lek na zapalenie dziąseł? Skuteczne metody i domowe sposoby
Dieta i styl życia: nieocenieni sojusznicy w walce o zdrowe dziąsła
Nie zapominajmy, że zdrowie jamy ustnej jest ściśle powiązane z ogólnym stanem zdrowia. Zbilansowana dieta, bogata w witaminy (zwłaszcza C i D) oraz minerały, wspiera odporność i zdolność dziąseł do regeneracji. Unikaj nadmiernego spożycia cukru i przetworzonej żywności, które sprzyjają rozwojowi bakterii. Co więcej, rezygnacja z palenia tytoniu jest jednym z najskuteczniejszych sposobów na poprawę kondycji dziąseł i zmniejszenie ryzyka recesji. Dbanie o ogólny stan zdrowia, w tym radzenie sobie ze stresem (który może nasilać bruksizm), to nieocenieni sojusznicy w walce o zdrowy i piękny uśmiech.




