Czym płukać jamę ustną przy zapaleniu? Domowe i apteczne sposoby
Czym płukać jamę ustną przy zapaleniu? Poznaj domowe sposoby (sól, zioła) i apteczne płyny. Złagodź ból i przyspiesz gojenie. Sprawdź, kiedy do dentysty.
Czym płukać jamę ustną przy zapaleniu? Poznaj domowe sposoby (sól, zioła) i apteczne płyny. Złagodź ból i przyspiesz gojenie. Sprawdź, kiedy do dentysty.
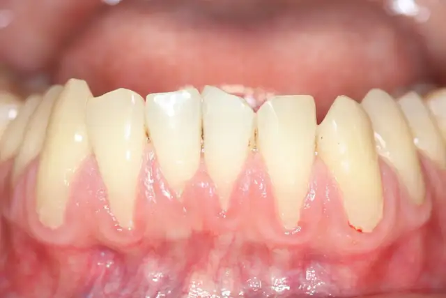
Jak wzmocnić dziąsła? Poznaj przyczyny osłabienia i skuteczne metody: od domowych płukanek po profesjonalne zabiegi. Odkryj kompleksowy przewodnik!
Jak zostać dentystą w Polsce? Poznaj kompletny przewodnik: matura, studia, staż, LDEK, specjalizacje i zarobki. Zaplanuj swoją karierę krok po kroku!
Jak działa szczoteczka soniczna? Poznaj technologię fal dźwiękowych i kawitacji. Porównaj z rotacyjną i odkryj korzyści dla Twojego uśmiechu. Sprawdź!
Odkryj, jak skutecznie usunąć przebarwienia z zębów! Poznaj przyczyny, domowe metody, profesjonalne zabiegi i ich koszty. Zadbaj o biały uśmiech.
Ile zarabia dentysta prywatnie? Poznaj realne dochody, widełki płacowe, koszty gabinetu i czynniki wpływające na zyski. Sprawdź, jak zwiększyć zarobki!
Po ekstrakcji zęba? Sprawdź, jak szybko się goić! Poznaj skuteczne metody na ból, obrzęk i uniknij suchego zębodołu. Kompleksowy poradnik gojenia.
Ból uszu? Poznaj sprawdzone domowe sposoby, skuteczne leki bez recepty i dowiedz się, kiedy pilnie udać się do lekarza. Szybka ulga i porady eksperta.
Jak długo trwa leczenie grzybicy jamy ustnej? Poznaj realne ramy czasowe, przyczyny nawrotów i skuteczne porady z doświadczeń innych. Sprawdź, jak się wyleczyć!
Poznaj sekret działania szczoteczki sonicznej: fale dźwiękowe, mikrobąbelki i ruchy wymiatające. Dowiedz się, dlaczego to rewolucja dla Twoich zębów i dziąseł.
Czy dentysta wystawia L4? Poznaj zasady: kiedy otrzymasz zwolnienie po zabiegu, a kiedy nie. Rozwiej wątpliwości i sprawdź, jak się przygotować!
Jak płukać dziąsła szałwią? Odkryj sprawdzony przewodnik krok po kroku. Poznaj proporcje, technikę, błędy i przeciwwskazania. Zadbaj o zdrowe dziąsła!
Antybiotyk na ból zęba: dowiedz się, kiedy jest niezbędny, jakie są rodzaje i jak bezpiecznie złagodzić ból przed wizytą u dentysty. Unikaj samoleczenia!
Dowiedz się, jak wygląda zakładanie aparatu ortodontycznego krok po kroku. Czy boli? Poznaj etapy, przygotowanie, dietę i higienę. Sprawdź kompleksowy przewodnik!
Jak boli tatuaż? Poznaj konkretne porównania do codziennych odczuć, mapę bólu na ciele i sprawdzone porady, by zminimalizować dyskomfort. Przygotuj się świadomie!
Bolesne rany na dziąsłach? Poznaj przyczyny, skuteczne domowe sposoby i leki bez recepty. Sprawdź, kiedy wizyta u dentysty jest konieczna!
Czy dentysta wystawi Ci zwolnienie lekarskie? Sprawdź, kiedy L4 jest możliwe po zabiegach stomatologicznych, jakie warunki musi spełnić lekarz i co zrobić w razie odmowy. Poznaj zasady!
Szczoteczka soniczna: czy warto? Poznaj zalety, wady i porównanie z rotacyjną. Sprawdź, jak działa i dla kogo jest idealna. Wybierz mądrze!
Jak wygląda próchnica zęba? Poznaj objawy od białej plamy po ubytek i dowiedz się, jak ją rozpoznać u siebie i dzieci. Sprawdź nasz przewodnik!
Szukasz ulgi na swędzące dziąsła u niemowlaka? Odkryj domowe sposoby, bezpieczne gryzaki i skuteczne żele. Sprawdź, kiedy iść do lekarza!
Czy afta to przeciwwskazanie do dentysty? Poznaj medyczne wskazówki, kiedy przełożyć wizytę, a kiedy jest konieczna. Odkryj domowe sposoby!
Ból stopy? Odkryj najczęstsze przyczyny: od przeciążeń po choroby. Sprawdź, kiedy iść do lekarza i jak dbać o zdrowe stopy. Kompleksowy poradnik.
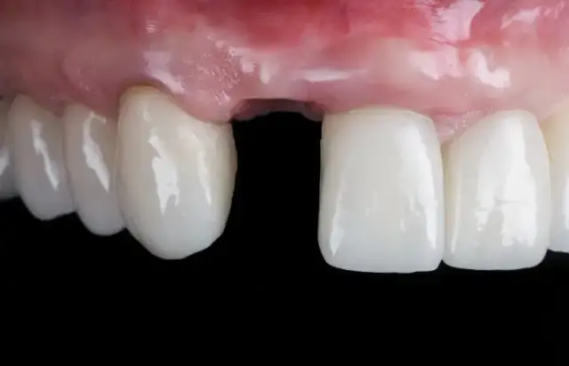
Poznaj aktualne ceny plombowania zęba w 2026 r. Porównaj koszty prywatne i NFZ. Dowiedz się, jak uniknąć drogiego leczenia!
Jak przebiega gojenie dziąsła po wyrwaniu zęba? Poznaj kalendarz rekonwalescencji, sygnały alarmowe i skuteczne porady, by uniknąć powikłań. Sprawdź nasz przewodnik!
Ile trzyma znieczulenie? Poznaj typowy czas działania znieczulenia dentystycznego, jego rodzaje, czynniki i zalecenia po zabiegu. Przygotuj się na wizytę.
Zapalenie jamy ustnej? Poznaj skuteczne domowe sposoby i leki z apteki. Dowiedz się, co na ból i jak zapobiegać nawrotom. Sprawdź nasz poradnik!
Afta na dziąśle? Zobacz zdjęcia i naucz się ją rozpoznawać. Poznaj przyczyny, domowe sposoby leczenia i kiedy iść do lekarza. Sprawdź nasz poradnik!